春节假期刚过,当人们还沉浸在阖家欢乐的喜庆氛围中时,西安凤城医院骨科一病区的医护人员却依然坚守岗位,用责任和担当守护着患者的健康,用实际行动诠释着医者仁心。

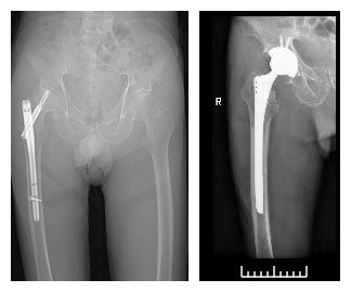
股骨粗隆间骨折术后股骨头坏死关节翻修手术

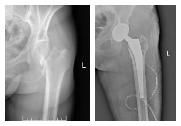
股骨颈骨折全髋关节置换手术
近年来,西安凤城医院骨科一病区紧跟医院高质量发展步伐,不断加强学科建设,提升医疗技术水平。科室引进先进医疗设备,积极开展新技术、新项目,在关节置换、机器人微创、运动医学等领域取得了显著成绩,为众多患者解除了病痛,赢得了良好的口碑。

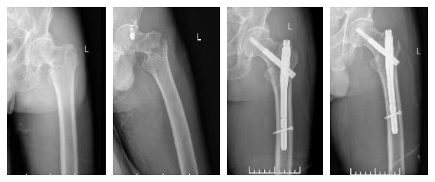
股骨粗隆间骨折微创内固定手术

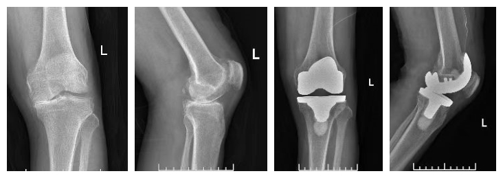
膝关节置换手术
春节期间,科室医护人员坚守岗位,为患者提供优质的医疗服务。节后,面对就诊需求,科室提前部署,优化就诊流程,增加门诊排班,确保每一位患者都能得到及时、有效的治疗。

机器人辅助下股骨颈骨折闭合复位内固定手术
新的一年,西安凤城医院骨科一病区将继续秉承“以患者为中心”的服务理念,不断提升医疗技术水平和服务质量,全力守护患者健康!
