医疗质量是医院的生存发展生命线,医疗安全是守护患者健康的核心底线。为进一步强化医务人员专业素养,提升医疗质量与安全管理水平,近日,放射科启动 “2026年开年第一课”活动,放射科全体人员参加会议,共同开启医疗质量提升新征程。

放射科以此次培训为契机,强化风险防范意识,锤炼专业技术本领,把培训所学转化为守护医疗安全、提升服务质量的实际行动,以精益求精的医疗服务守护群众生命健康。

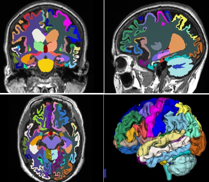
人工智能脑分割技术

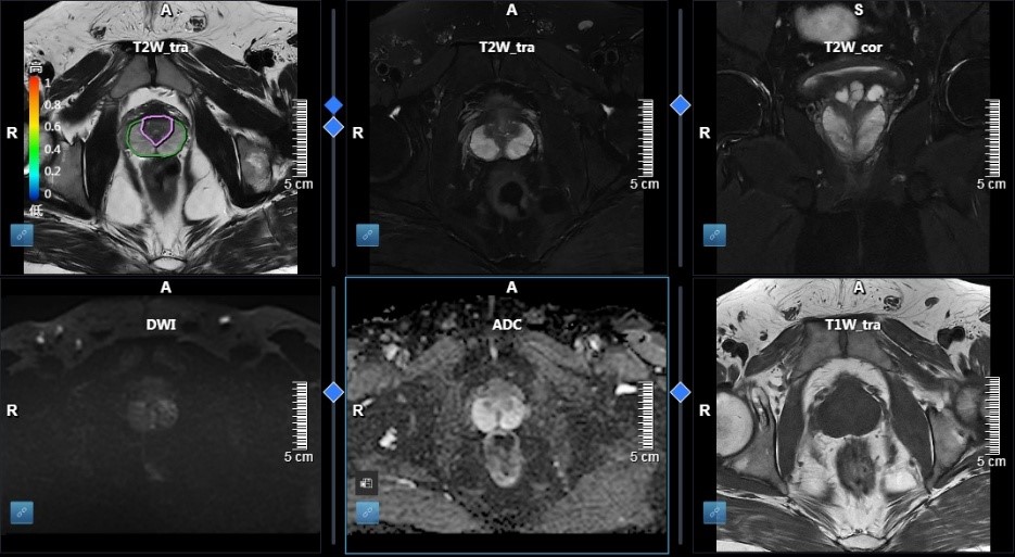
人工智能前列腺筛查技术
会议期间为增强员工信心,鼓励士气,提出“不抱怨,多改变”的口号,鼓励员工多从自身找问题,多改变自己适应大环境的变化。科室的发展,靠的不是风口,是大家一步一步提升做出来的。大家稳,科室就稳,坚持做好每一个病人,写好每一份报告,多提升自己,相信越来越好。

此次“开年第一课”的顺利开展,既鼓舞了士气又标志着放射科2026年医疗质量提升系列培训正式拉开帷幕。下一步,放射科将持续深耕医疗质量提升工作,常态化开展专题培训与技能演练,着力打造一支业务精湛、作风优良、责任过硬的医疗队伍,为医院高质量发展提供坚实的人才支撑与技术保障。