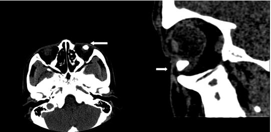
西安凤城医院眼科近日收治了一位48岁的中年男子,既往27年前左眼被炮炸伤,当时大量砂石击入颜面部,因医疗环境较差,未予系统治疗,27年来,左眼几乎无视力,且常有分泌物溢出,眼球转动障碍。胡铁明主任仔细查体发现:左眼视力为指数/10cm,下睑可触及一直径约10mm大小的肿块,活动度差,与球壁相连,挤压可见少许分泌物溢出,下睑可见一扇形组织自下穹窿部粘连于6点位角膜缘,眼球向上转动受限,瞳孔呈竖状梭形,直径约1mm,对光反射迟钝,晶状体混浊,玻璃体及眼底窥不清。眼眶CT检查示左侧眶内三角形致密影,考虑异物滞留可能。(如图CT箭头指示)

俗话说眼里容不下砂,很难想象一个人眼内存有大块砂石27年是一件多么痛苦的事情!但因异物存留眼内27年,CT上显示与球壁有粘连,取出可能并发眼球内容物脱出、眼球塌陷,经全科室讨论决定先行睑球粘连分离术,术中暴露下穹窿部后根据探查情况再定下一步诊疗计划。术中分离完粘连组织后暴露出一点点质硬的黑色异物,就是它,在不停的刺激患者左眼结膜,导致结膜炎症,产生大量分泌物。
患者要求取出异物的愿望强烈,告知其可能出现眼内容物脱出、眼球塌陷及术后无视力等风险,患者表示理解,再次消毒铺巾后行左眼眶内异物取出,充分清创止血后完全分离包裹异物的增生组织,取出黑色砂石,大小约10×10×5mm。

由于多年眼内异物对冯某生活带来极大不便,取出异物当时患者即感左眼舒适度大幅提高,眼球转动灵活,现术后恢复极好,患者对主管医师乔璐、主治医师孙文静、科主任胡铁明等全科医师的感激之情溢于言表,对医院的师资力量和医护人员的专业水平给予充分的肯定。
西安凤城医院眼科发展迅速,在过去的两年里,曾先后使多名眼球穿通伤患者保留了眼球,恢复了视力,并曾成功摘除脉络膜黑色素瘤,及时挽救了患者的性命。在医院领导的支持,兄弟科室的协作下,全科人员会继续齐心协力,同创美好明天。