疫情肆虐,西安凤城医院骨科一病区自春节后收住了30多例老年髋部骨折患者,80%都是70岁以上高龄,基础疾病多,伴有骨质疏松症,而且又是疫情期间,给治疗带来了巨大阻力。在雷永林主任带领下,骨科一病区严格落实疫情防控措施,请相关科室会诊,积极治疗原发病,鼓励并动员家属提前互助献血,保证术中及术后用血方便,克服重重困难,成功为30例患者施行了手术,均康复出院。在特殊时期,我们采取了能让患者早期下地的治疗办法——人工关节置换术。
老年髋部骨折又称作“人生最后一次骨折”,说的是发生这个骨折,如果不采取积极有效的治疗办法,就会出现长期卧床,从而导致肺部感染、泌尿系感染、下肢深静脉血栓、褥疮等并发症,严重时出现心、脑、肺血管意外事件发生,甚至意外死亡的可能。针对此种情况,患者入院后,给予家属提供3种治疗方案:第一、保守治疗,行下肢股骨髁上骨牵引。优点是创伤不大,患者基本都能够耐受;缺点是一般牵引8-10周左右,卧床时间长,并发症多,且骨折畸形愈合、不愈合、骨坏死风险大。第二、内固定治疗,一般采取髓内钉固定。优点是骨折能够复位满意,达到了保髋治疗的目的;缺点是手术创伤大,隐性失血多,不能够早期下地活动,骨质疏松内固定失效率高。第三、人工关节置换,大部分半髋置换,小部分全髋置换。优点是不存在骨折愈合,早期(一般术后3-5天)就能够下地活动;缺点是存在手术创伤大、隐性失血多的风险,而且有术后切口感染、关节感染、假体脱位及假体周围骨折的风险,一旦发生将是灾难性的。
在充分尊重患者家属知情理解下,全科深思熟虑、共同努力,麻醉科及相关科室协助,为患者祛除病痛。面对老龄化社会的进程,骨科一病区已经做好了为老年高龄解除骨痛的准备,献上我们总结出来的治疗策略,为老年骨折患者保驾护航,!
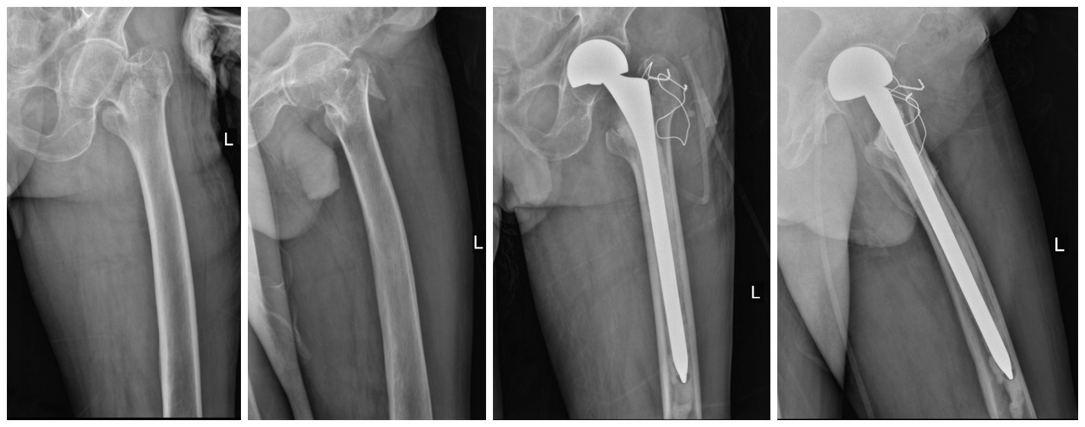
附部分骨折患者术前、术后照片

半髋置换

半髋置换

全髋置换