2020年的新年是一个不平凡,也异常安静的新年,2019年12月起在我国武汉发现“新型冠状病毒肺炎”,随着新年返乡热潮的到来,“病毒”也大肆传播起来,全国人民在这举国欢庆的时刻,积极响应国家号召居家隔离,医护人员更是奋起抗疫,过去的几个月里,西安凤城医院呼吸与危重症医学科积极应战,全面开展抗疫工作,王红娟主治医师有幸加入到陕西省援鄂的大队伍中,前往支援武汉。

特殊时期呼吸与危重症医学科团结协作,分工明确,在确保个人防护的前提下为患者及家属提供最优质的服务。由于疫情的影响,支气管镜的镜下操作及治疗过程中,操作者感染的风险极高,但科室在张志惠主任带领下无一人胆怯退缩,根据需要充分准备,严格做好标准预防和三级防护措施后,在内镜室人员积极配合下,疫情期间仍持续不间断的开展支气管镜检查及镜下治疗,使患者可以早诊断、早治疗,解决了患者痛苦。
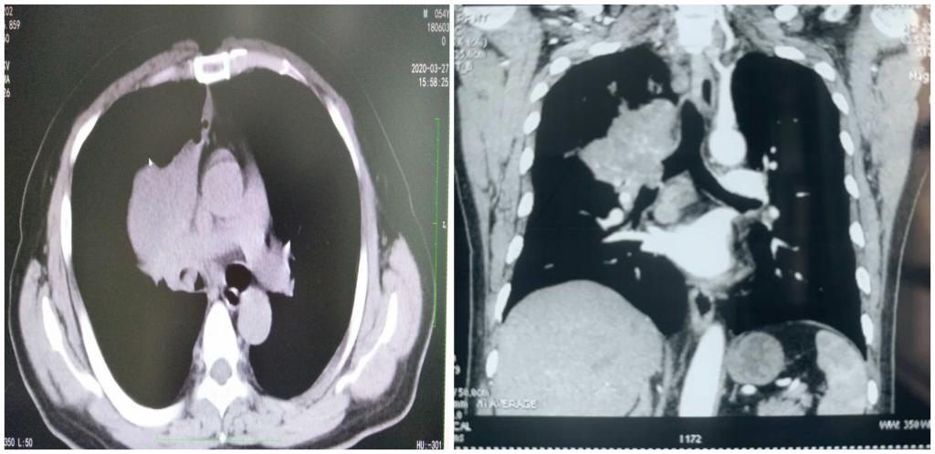
抗疫期间科室积极开展高水平镜下治疗,2月份共开展支气管镜及镜下治疗30余例,老赵就是其中的一位患者。他是西安市人,长期大量吸烟,因“间断咳痰、痰中带血、气短3月”就诊于当地医院,行胸部CT提示右肺门肿块,右主支气管新生物,辗转多家医院均因疫情影响内镜检查暂时停诊而无法诊治,但气短却日渐加重,后经人介绍求诊于我科,科主任张志惠看过影像学检查,考虑气道新生物已明显阻塞主支气管,血气分析提示严重低氧,影响患者通气,必须及时打通阻塞的气道挽救生命。遂在充分评估手术风险并取得家属同意后,迅速安排支气管镜检查,并在支气管镜下行气道肿瘤切除手术,经圈套器、氩气、冷冻等多种措施,低氧迅速改善,术后患者气短症状明显减轻。这是凤城医院呼吸科开展的首例大气道巨大肿瘤消融切除术,也是呼吸与危重症医学科全体人员在抗疫过程展示的实力和态度。


在危重症救治方面,充分发挥北郊区域学科优势,全科在人员紧张的情况下,分工合作,团结一心,奋战在第一线,虽然疫情导致多数患者讳疾忌医,总住院人数明显下降,但重症患者仍不间断来诊,全科不足40名患者的情况下,危重症患者已过大半,重症监护室满床运作,呼吸机治疗、气管插管、床旁支气管镜等抢救措施几乎每天都在进行。

虽然疫情肆虐,但全国人民抗疫的决心和必胜的信心却愈发坚定,我们必将万众一心,砥砺前行,坚信中国一定会胜利,阴霾必将过去,夏阳必将娇艳当空。
学科简介
西安凤城医院呼吸与危重症医学科拥有主任医师1名,副主任医师2名,主治医师3名,住院医师5名。科室技术力量全面,设专家、专病门诊、住院部、RICU(重症监护室)及支气管镜室,在慢性咳嗽,支气管哮喘(尤其是久治不愈、食管反流病相关哮喘症候群)、慢性阻塞性肺疾病、肺心病、呼吸衰竭、大咯血等呼吸与危重症医学科急危重抢救方面具有丰富经验。技术优势:常规开展经皮肺穿刺术、胸膜活检术及规范成熟的呼吸机辅助呼吸技术,气管镜检查治疗技术成熟,开展的尘肺病支气管镜下大容量肺泡灌洗术有一定临床特色。如果您有以下症状请到呼吸与危重症医学科就诊:发热、咳嗽、咳痰、咯血、气短、哮喘、呼吸困难、胸痛、胸腔积液(胸水),卧床合并肺部感染等。
地址:西安凤城医院住院一部13楼呼吸与危重症医学科
电话:029-86255259(门诊) 029-86255608(住院部)