没有得过颈椎病的人,很难理解颈椎病人的感受。恶心、脖子痛时像孕妇,手麻、胳膊麻时像中风,暴躁、脾气差时像更年期,记忆力减退,噩梦不断,生活质量直线下降!
而颈椎病其中有一种脊髓型颈椎病,早期表现为颈肩不适,逐渐双上肢无力麻木,双下肢僵直,感觉脚底踩棉花,直到走路不稳东倒西歪,才想起了去看颈椎。
近日我科一名患者,就如上述情况。

(颈椎MRI矢状位:颈4-5、5-6椎间盘突出,脊髓受压严重,脊髓变性)

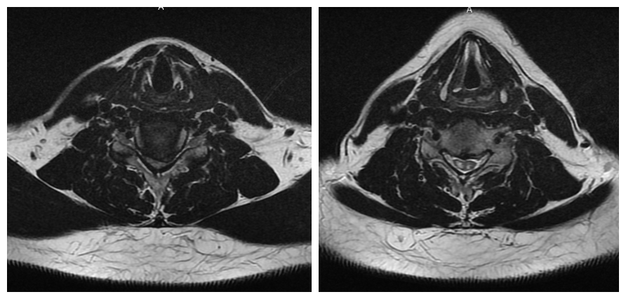
(颈椎MRI横断位:颈5-6椎间盘中央偏左突出,脊髓横截面积减少大于1/2,脊髓变性,增强的信号像是两只眼睛,被称为“眼镜蛇征”)

(颈椎正侧位X线:颈椎序列正常,颈椎退变明显)
早期患者寄希望于保守治疗,吃药、针灸、按摩、理疗、膏药、偏方等等,试了很多方案,但是脊髓型颈椎病不像其他类型的颈椎病,保守治疗往往效果不好,结果病越拖越重,越治越重。经过前思后想,最终患者选择了西安凤城医院骨科二病区(脊柱外科、创伤骨科)就诊。
经过详细查体,认真准备,我们给病人制定了颈前路颈5椎体次全切减压植骨融合内固定的手术方案。术后1周患者四肢感觉明显轻松,双手握力较前改善,双下肢僵硬减轻,行走较以前明显好转,步态明显改善。

(术后颈椎正侧位X线:内固定位置良好。)
脊髓型颈椎病是由于颈椎椎骨间连接结构退变,如椎间盘突出、椎体后缘骨刺、钩椎关节增生,后纵韧带骨化、黄韧带肥厚或钙化,导致脊髓受压或脊髓缺血,继而出现脊髓的功能障碍,严重的可导致瘫痪,大约占全部颈椎病的10%~15%,值得注意的是,脊髓型颈椎病患者的颈部疼痛往往不是很严重,经常以手部和下肢的功能障碍为第一表现,所以容易漏诊。

(图片来源于网络)
对于其他类型的颈椎病,都应当先尝试保守治疗,效果不好再考虑手术。但由于脊髓型颈椎病的病情特点,不经手术难以解除脊髓压迫,保守治疗后逆转和病情不再发展的机会不多,如果没有手术禁忌,应该尽早选择手术治疗,避免病情加重。另外,脊髓型颈椎病禁忌按摩和牵引,暴力按摩后可能导致病情加重,开车或锻炼时也要避免颈椎的剧烈摆动,严重的甚至可能导致瘫痪。

(图片来源于网络)
西安凤城医院骨科二病区(脊柱外科 创伤骨科)位于A楼16层,是一个以颈腰椎疾病和四肢创伤骨折的微创治疗为特色的专业骨科,提倡颈腰椎疾病的精细化诊断理念和靶点化治疗观念,同时开展四肢创伤骨折的髓内钉、经皮内固定等微创手术方案,充分满足患者对健康和无痛的需求。
