盛夏七月,西安凤城医院的手术室里来了一位“新医生”——骨科手术机器人。西安凤城医院引进的这台骨科手术机器人,是目前专用于骨科手术的手术机器人,我院引进的是最新的二代机器人,操作更简便,定位更精准。

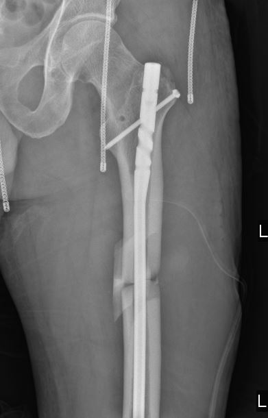
上周,我院骨科二病区张宏主任实施了西安凤城医院首例骨科机器人手术,为一名股骨干骨折的患者完成微创髓内钉内固定手术。机器人定位后,置入髓内钉一次成功,置入位置与预期位置分毫不差。




利用高科技机器人完成手术,优势是手术中的定位非常准确,可以达到毫米级,创伤可以明显缩小,除了髓腔的少量出血外,皮肤软组织的切口很小,出血也很少。而如果采用传统手术方式的话,术中出血量可达800毫升以上,非常不利于恢复。

骨科机器人是如何做手术的呢?和普通医生一样,它也要披上“手术衣”,在经过严格消毒的环境中,与医生共同“战斗”。张宏主任介绍,骨科手术机器人辅助手术简单描述可分为三步:
一、骨科医生对病人进行术前检查,将CT影像学资料调取后输入机器人的电脑系统中,然后在电脑中对手术计划进行详细的数字化三维规划;
二、术前用骨科手术C臂机对病人进行透视,将二维或三维影像资料也上传至机器人电脑,并将两套影像资料进行融合;
三、根据程序准确定位手术路径,机器人通过机械臂的精确运动,为医生提供稳定的导针置入路径,使医生可以按照预期的规划,准确地置入器械,从而完成手术。

西安凤城医院骨科机器人手术的开展,不止用于常规骨科手术,而且对于颅颈交界处、上颈椎、上胸椎、骶骨骨盆等高精度高难度手术具有极大的意义,骨科患者可以在凤城医院体验到比以前更精准、更微创、更安全的医疗技术!
