近日,面对一起氮气泄漏致患者心跳呼吸骤停的紧急情况,西安医学院凤城医院120与急诊科紧密配合、无缝衔接,高效协作赢得抢救时间,最终成功救治患者。
一、无声的危机:“隐性杀手”突袭,命悬一线
10月19日的深夜,一位年轻的工人在进行氮气置换工作时突然晕倒在地,不省人事,工友发现后立即呼救,并拨打120急救电话。
二、院前急救:黄金四分钟生死博弈
120急救车火速抵达,文丹主治医师团队携设备奔赴患者。查体见其意识丧失、面唇紫绀,呼吸与颈动脉搏动消失,团队即刻开展标准化心肺复苏,分工明确、操作连贯。4分钟后,监护仪上终于出现微弱的心跳波形,现场医护丝毫不敢懈怠,“严密监测患者生命体征,通知院内急诊团队,启动绿色通道!”

三、院内接力:多学科协作下合力攻坚
急诊科在接到预警后第一时间启动响应机制,许晓军副主任、李毅医师、李思远医师及孙彦珍护理组长迅速成立抢救专班,呼吸机、监护仪、急救药品等抢救用物准备就绪,医护人员提前就位,实现“患者未到、资源已备”的高效对接,并及时上报科主任陆将及医院总值班开通绿色通道。

患者迅速转入抢救室,120与急诊科团队快速完成交接,了解到现场情况:患者意识完全丧失,双侧瞳孔散大,对光反射消失,血压难以测及,现场心肺复苏虽抢回微弱心跳,但真正的生死考验,才刚刚开始。
“立即气管插管,呼吸机辅助呼吸;建立多条静脉通路,保证药物治疗;完善血气分析,查明内环境状况!”
许晓军副主任指挥清晰、决策果断,迅速确立抢救方案:维持生命体征、脱水降颅压以减轻脑水肿、抗炎、抗感染、镇静镇痛、预防应激性溃疡、稳定内环境……指令下达的瞬间,抢救团队立即高效运转起来。孙彦珍带领护理组凭娴熟技术,快速完成各项操作,监护仪上不断变化的数值,牵动着现场每一位团队成员的心。

陆将主任精准研判:“这是典型的缺氧性窒息引发的心跳呼吸骤停,核心救治在于脑保护与纠正全身缺氧,尽管心跳已恢复,但脑水肿、神经功能损伤等风险仍存在,必须全程协同攻坚。”

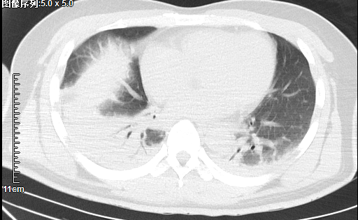
完善的CT检查显示:双肺渗出性改变伴部分实变,立即联系呼吸与危重症医学科王婷婷副主任为患者床旁行支气管镜检查,发现双肺下叶支气管被脓痰不完全阻塞,给予灌洗及对症处理。

患者单位领导闻讯赶至医院,恳切请求全力挽救年轻的生命,面对重托,陆将主任代表医护人员郑重承诺:“我们不仅要救活他,更要让他有质量地活下去。”这不仅是一句承诺,更是整个团队共同奋斗的目标。
四、决胜关键:高风险下的魄力与担当
患者生命体征趋于稳定后,团队果断启动关键性治疗——高压氧。然而患者病情仍极度危重,转运与治疗过程中的风险极高。急诊团队全面评估并与家属深入沟通后,赢得家属的理解与支持,决定与家属共同承担风险,于凌晨四点护送患者完成首次高压氧治疗。救治过程并非一帆风顺,第二次高压氧治疗将近结束时患者突发呼吸微弱,陪同医护迅速反应,予以球囊辅助呼吸,陆将主任、靳娜护士长舱外精准指挥,高压氧室紧急降压开舱,舱内抢救争分夺秒,再次帮助患者渡过险关。

这场生命保卫战也牵动着院领导的心。王保山院长第一时间指示:集中全院优质资源,全力支持临床抢救团队!张院长持续关注救治进展,马院长、佘院长多次亲临抢救一线,研判病情并指导救治策略,为抢救团队提供坚实后盾。

五、迎来新生:精心照护下的生命曙光
医护团队全程精准监测、精细照护,定时评估意识、调整体位防并发症,动态优化治疗与营养方案。在不懈努力下,患者意识逐渐恢复、氧合指标稳步改善。72小时成功脱离呼吸机,并同步开展系统性康复锻炼,半月后痊愈出院,重获新生。

这场精心动魄的救治,不仅挽救了一条生命,也是守护了一个家庭。它再次证明,院前与院内急救的紧密协作,是守护人民群众生命健康最坚实的防线。

急救科普
在工业安全领域,氮气被誉为“隐性的杀手”,它无色无味,在悄然弥散时,会无情地剥夺空气中的氧气,导致人员在毫无预警的情况下陷入致命的缺氧境地。
一、氮气的基本性质
氮气是无色、无味、无臭的气体,在空气中氮气含量占78%微溶于水和乙醇。常温常压下密度为1.25g/L,略轻于空气,泄漏后易在空间内均匀分布。液态氮温度可达-196℃,接触人体可造成严重冻伤。
二、氮气泄漏的危害
1、窒息风险:氮气本身无毒,但会排挤空气中的氧气。当空气中氧含量低于18%时,人体会因缺氧窒息。吸入高浓度氮气可能在数秒内使人昏迷,甚至导致死亡。
2、低温伤害:液氮泄漏时,接触皮肤会造成冻伤,需立即用温水复温并就医。
三、氮气泄露应急措施:
1、人员疏散:立即撤离泄漏区域,无关人员从侧风、上风向撤离至安全区。
2、切断气源:关闭相关阀门,避免氮气继续泄漏。
3、通风换气:打开门窗或启动通风设备,加速气体扩散。
4、个人防护:应急人员需佩戴正压自给式呼吸器,接触液氮时穿防寒服。
5、救援注意事项:严禁盲目施救,施救者必须做好防护措施。若有人窒息,应迅速移至空气新鲜处,必要时进行心肺复苏并送医。