
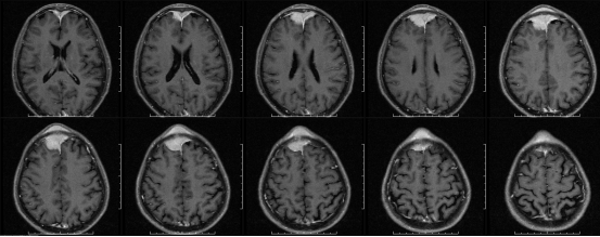
62岁的郭大爷,1年前洗头时发现额部有一杏仁大小、质地较硬的包块。2015年3月份,郭大爷自觉额头包块增大,乍眼一看竟像一个“犄角”。这可急坏了郭大爷,他便去当地多家医院就医,被诊断为“额骨软骨瘤”,治疗多次均无效果。最终向朋友打听,满怀希望来到西安凤城医院神经外科就诊。曾在西京医院从事神经外科工作10余年、临床经验丰富的王冰主任格外重视,带领神经外科医疗团队反复详细做术前检查。经磁共振(图1)显示“额部占位性病变”,考虑“矢状窦脑膜瘤”,需要尽早进行手术切除。王冰主任向郭大爷家属讲明病情、手术方式、风险及并发症后,家属表示理解并知情,积极要求手术。

图1
(术前磁共振)
3
月11日上午9点30分,我院神经外科王冰主任亲自主刀,带领神经外科专业医疗团队,在麻醉科医师的协助下,为郭大爷行“额部肿瘤切除术+颅骨修补术”。术中发现病变组织竟然已侵蚀颅骨(图2),向头皮外生长,与脑组织及硬脑膜紧密粘连,侵犯矢状窦,手术过程中稍不留意就会出现大出血,风险极大。王冰主任凭借自己多年的临床经验及手术经验,临危不惧。经过近3个小时的不懈努力,终于完整清除郭大爷被肿瘤侵犯的脑组织、脑膜及颅骨(图3)。手术非常顺利。术后郭大爷神志清楚,恢复良好。现已转出神经外科监护室,到普通病区继续康复治疗。

图2 图3
(术中见肿瘤) (切除肿瘤后)
近年来,大多数人对脑瘤的问题都比较关注,尤其是脑膜瘤疾病。依据肿瘤产生的部位不同,可出现视力、视野、嗅觉或听觉障碍及肢体运动障碍。应给予高度重视。通常最常见的方法就是手术治疗。这是我院神经外科首例颅内肿瘤切除术,充分展示了我院神经外科的雄厚实力与精湛的医疗技术水平。这些都离不开同事之间的信任与配合,更离不开每一位神经外科医务人员救死扶伤的决心。