西安凤城医院急救电话:029-86530966

医院动态

当前位置: 首页 >> 医院动态 >> 医院动态 >> 正文

小切口 大关爱

发布日期:2016-03-24    作者:admin     来源:     点击:

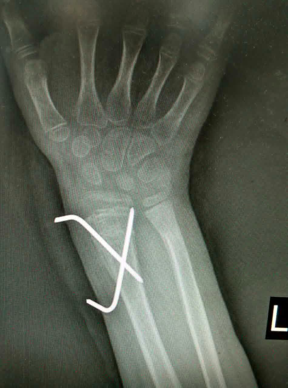
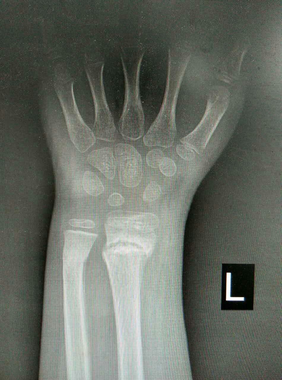
患儿,男,10岁,因左桡骨远端骨折畸形愈合5周来我院就诊。患儿家长曾在我市多家医院就诊,均认为切开复位,传统手术切口6-8cm。腕部血管、神经较多,共约20余条,稍有不慎,将给患儿造成较大后遗症,瘢痕永久存留,外观不美,且费用昂贵。我科谢瑞卿主任看过病人后决定采取微创闭合复位内固定,起初家属半信半疑,但后来经过耐心解释后决定在我院手术治疗。于2016-01-25在全麻下行左桡骨远端陈旧性骨折闭合复位内固定术,微创切口0.5cm左右,我们成功避免了各种意外事件的发生,截骨复位,我们巧妙应用骨刀在微创手术中的优点,成功闭合复位,术后复查拍片骨折复位满意。在骨科全体医护人员的积极治疗护理下,于春节前临床治愈出院。术后6周复查骨折已骨性愈合,腕关节功能良好。患儿家长万分感谢,赞叹西安凤城医院有如此精湛的技术和优质的服务质量与态度。


术前X光片



术后X光片

体表照片