在许多家庭的认知里,老人走路不稳、记性衰退、小便失禁,往往被简单归为“自然衰老”或“老年痴呆”的必然表现。但西安凤城医院脑科病院神经外科专家团队的临床实践警示:这背后可能隐藏着一种名为正常压力脑积水(normal pressure hydrocephalus,NPH) 的可治性疾病,它被称为少数能通过手术改善的“可逆性痴呆”,切勿因误判而错失治疗良机。

一、正常压力脑积水的典型“三联征”,早识别是关键
正常压力脑积水的症状发展具有渐进性,核心表现为特征鲜明的“三联征”,家属可通过这些信号初步识别:
1、步态障碍:作为最常见、最早出现的症状,患者常感觉双脚像被磁铁吸附,起步困难,步态蹒跚且步基增宽,易发生跌倒。与帕金森病的“小碎步”不同,其行走时身体摇晃明显,转身需分多步完成,动作十分笨拙。
2、认知障碍:主要表现为记忆力下降、反应迟钝、注意力不集中,看似“痴呆”却有明显区别——通常不伴有阿尔茨海默病典型的严重定向力丧失,病情波动较大,有时会显得相对清醒,但对周围事物缺乏兴趣,执行复杂指令能力差。
3、大小便障碍:多在步态和认知问题出现后发生,早期以尿频、尿急为主,后期发展为小便失禁。患者往往能意识到排尿需求,却因行动迟缓来不及如厕,这与单纯前列腺增生或膀胱老化的症状存在差异。

二、为啥正常压力脑积水能“逆转痴呆”?用生活场景讲清楚
可以把大脑想象成一个“精密工厂”,而脑脊液就是工厂里的“清洁养护液”——它能缓冲脑震荡、带走代谢废物,还能给脑细胞输送营养,正常情况下会不断生成、循环,再通过特定通道排出,保持动态平衡。可一旦排出通道被堵住(比如脑组织粘连、炎症后遗症等),脑脊液就会在大脑里“堵路”,像堰塞湖一样越积越多。这些多余的液体不会把脑撑大,而是悄悄“挤压”大脑里控制走路、记忆的关键区域——就像往装满文件的抽屉里硬塞书本,会把原本整齐的文件(神经通路)压得变形、没法正常工作,于是老人就出现了走路不稳、记不住事的症状。

但它和不可逆的老年痴呆不一样!这种“挤压损伤”是暂时的。医生会做一个微创小手术,在脑袋和腹腔之间装一根细细的“引流管”,相当于给堵塞的“下水道”接了根“新水管”,把多余的脑脊液引到腹腔里,让身体慢慢吸收。等大脑里的“压力”降下来,被挤压的神经通路就能慢慢“舒展开”,重新恢复工作——就像把抽屉里多余的书本拿走,文件又能正常取用一样。所以只要及时治疗,老人的走路能力、记忆力大多能明显改善,这也是它被叫做“可逆性痴呆”的原因。

三、精准诊断+及时治疗,抓住黄金时机
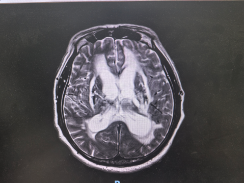
正常压力脑积水需经多维度诊断:医生结合“三联征”症状,通过头颅CT/MRI看脑室是否扩大,再用腰穿放液试验确认脑脊液情况。


治疗核心是个体化分流手术,西安凤城医院脑科病院神经外科有成熟经验,能精准制定方案。需注意,病程越短(如半年内)、无严重脑萎缩,术后恢复越好;病程长则可能留神经损伤,影响效果。若家中老人出现“三联征”,别归咎于衰老,尽早带至西安凤城医院脑科病院神经外科筛查,及时干预或能显著提升老人晚年生活质量。