垂体瘤,作为一种常见的良性脑部肿瘤,位于大脑底部的垂体区域。垂体被誉为“人体的总司令部”,负责调节包括生长、代谢、免疫等在内的多种重要生理功能。尽管垂体瘤通常生长缓慢且不具侵袭性,若不及时发现与治疗,仍可能对身体健康造成显著影响。因此,了解垂体瘤的相关知识,掌握早期识别、科学诊断及治疗方案,成为应对这一疾病的关键。

垂体瘤的临床表现
垂体瘤的症状可以因肿瘤的类型、大小及位置不同而有所不同。通常分为压迫症状和内分泌症状两大类。
1、压迫症状:随着肿瘤的逐渐增大,垂体瘤常常会压迫到垂体周围的神经和脑组织。最常见的压迫症状是视神经的受压。垂体位于大脑底部,紧邻视神经交叉区,肿瘤的生长可能导致视神经受压,进而引发“双颞侧视野缺损”——即两侧视野模糊或完全失明。此外,患者还可能伴有头痛、头晕等症状,尤其是在肿瘤较大时更加明显。

2、内分泌症状:垂体瘤的一大特点是可能会分泌过多的激素,导致内分泌紊乱,具体表现为:
泌乳素瘤:过度分泌泌乳素,女性表现为闭经和溢乳,男性则可能出现性功能障碍。
生长激素瘤:过度分泌生长激素,成人期可能出现肢端肥大症(手脚增大,面容变大),而儿童期则可能导致巨人症。

促肾上腺皮质激素瘤:导致库欣病,表现为面部肥胖、皮肤变薄、体重增加等症状。

由于上述症状常常较为隐蔽,且与其他常见疾病症状相似,患者通常难以及时发现,常常在肿瘤已经发展较大时才就医。
垂体瘤的诊断方法
诊断垂体瘤的关键在于通过科学的检测手段进行早期识别。常见的诊断方式包括:
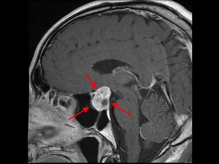
MRI(磁共振成像):MRI被认为是诊断垂体瘤的金标准,能够清晰地显示肿瘤的位置和大小,帮助医生精确定位肿瘤,并判断其是否对周围脑组织产生压迫。

血液激素检测:通过检测患者的激素水平,医生能够判断垂体是否存在功能性异常,进而确定肿瘤的类型。
垂体瘤的治疗策略
针对垂体瘤的治疗方案,通常根据肿瘤的大小、类型及患者的具体症状来制定。常见的治疗方式包括:
1、观察等待:对于无明显症状的小型垂体瘤,尤其是老年患者,医生通常会建议定期检查,动态观察肿瘤的发展。通过定期的MRI复查,来判断肿瘤是否发生变化,从而决定是否需要治疗。
2、药物治疗:对于某些类型的垂体瘤,尤其是泌乳素瘤,药物治疗是有效的选择。多巴胺激动剂(如溴隐亭)能够有效抑制泌乳素的分泌,帮助缩小肿瘤并改善症状。
3、现代神经外科通常采用经鼻蝶入路手术。这种手术不需要开颅,通过鼻腔的自然通道进入病灶,创伤小,术后恢复迅速,且对患者生活质量的影响较小。

垂体瘤作为常见的颅内内分泌肿瘤,其诊疗核心在于精准微创切除与内分泌功能的长期规范化管理。
目前,神经内镜下经鼻蝶入路手术已成为治疗垂体瘤的主流微创术式。该技术无需开颅,通过鼻腔自然腔道抵达颅底,能最大程度地减少对正常脑组织的牵拉,具有创伤小、术后恢复快的特点,是外科治疗的首选方案。
垂体瘤的诊疗远不止于手术。一个完整的诊疗周期涵盖术前精确评估、肿瘤安全切除、术后内分泌激素水平的平稳过渡以及长期的随访监测。这要求诊疗团队具备神经外科、内分泌科、影像科、病理科等多学科协作的能力,为患者提供贯穿始终的系统化管理。
我们垂体瘤诊疗遵循上述现代理念,依托多学科协作团队,致力于为患者提供涵盖全周期的规范化诊疗方案。
结语
尽管垂体瘤通常是良性肿瘤,但其对健康的潜在威胁不可忽视。随着现代医学技术的发展,垂体瘤的治疗已经取得了显著进展,许多患者通过个体化治疗能够实现长期稳定的预后。面对垂体瘤,患者不应过度恐慌,而应理性对待,及时诊断并选择合适的治疗方案,从而恢复健康的生活质量。
